产品说明
一般描述
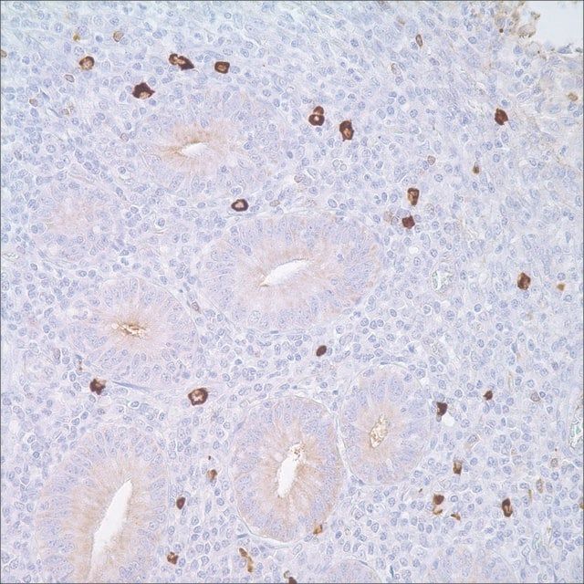
Anti-lambda detects surface immunoglobulin on normal and neoplastic B-cells. Anti-lambda staining is seen in B-cell follicles of human lymphoid tissue. When dealing with B-cell neoplasms, the determination of light chain ratios remains helpful. Most B-cell lymphomas express either kappa or lambda light chains, whereas reactive proliferations display a mixture of kappa and lambda positive cells. If only a single light chain type is detected, a lymphoproliferative disorder is very likely.1-3
质量
![]() IVD | ![]() IVD | ![]() IVD | ![]() RUO |
联系
Lambda Positive Control Slides, Product No. 277S, are available for immunohistochemistry (formalin-fixed, paraffin-embedded sections).
外形
Solution in Tris Buffer, pH 7.3-7.7, with 1% BSA and <0.1% Sodium Azide.
制备说明
Download the IFU specific to your product lot and format
Note: This requires a keycode which can be found on your packaging or product label.
Download the latest released IFU
Note: This IFU may not apply to your specific product lot.
其他说明
For Technical Service please contact: 800-665-7284 or email: service@cellmarque.com
法律信息
Cell Marque is a trademark of sigma-aldrich Co. LLC
基本信息
| NACRES | NA.41 |
产品性质
| 生物来源 | rabbit |
| 质量水平 | 500 100 |
| 偶联物 | unconjugated |
| 抗体形式 | culture supernatant |
| antibody product type | primary antibodies |
| 克隆 | EP172, monoclonal |
| 描述 | (For In Vitro Diagnostic Use in Select Regions (See Chart)) |
| 形式 | buffered aqueous solution |
| species reactivity | human |
| 包装 | vial of 0.1 mL concentrate (277R-14) vial of 0.5 mL concentrate (277R-15) bottle of 1.0 mL predilute (277R-17) vial of 1.0 mL concentrate (277R-16) bottle of 7.0 mL predilute (277R-18) |
| manufacturer/tradename | Cell Marque™ |
| technique(s) | immunohistochemistry (formalin-fixed, paraffin-embedded sections): 1:100-1:500 |
| 同位素/亚型 | IgG |
| 控制 | tonsil |
| 运输 | wet ice |
| 储存温度 | 2-8℃ |
| 可视化 | cytoplasmic |
















