位置:首页 > 产品中心
Anti BRAF(V600E)小鼠单抗
型号:BRaf(V600E)
货号:26039
品牌:NewEast Biosciences
参考价格:4800
包装:100微升
交货期:现货

包装与价格:
订货号纯度规格包装价格(元)
26039100微升4800
产品介绍

背景介绍:   B-Raf is a member of the Raf family of Ser/Thr protein kinases. It functions downstream of Ras to regulate the MAP kinase signaling pathway. Mutations in the BRAF gene cause diseases. Inherited mutations in BRAF cause cardiofaciocutaneous syndrome. Acquired mutations in BRAF have been found in cancers
免疫原:   A synthetic peptide from the internal region of BRaf(V600E), human origin
经过测试的应用:   ELISA, WB, IHC, IP

Western blot analysis of recombinant B-raf proteins with anti-BRaf(V600E) antibody.

Purified His – tagged B-Raf( V600E ) ?amino acids 513-693)(lane1) ? corresponding wild type protein(lane 2), His – tagged B-Raf( V600D ) (lane 3) , His – tagged B-Raf( V600A ) (lane 4) , His – tagged B-Raf( V600G ) (lane 5) , His – tagged B-Raf( V600K ) (lane 6), His – tagged B-Raf( V600R ) (lane 7), and His – tagged B-Raf( V600M ) (lane 8) were blotted with anti-B-Raf(V600E) monoclonal antibody (Cat. # 26039) .

免疫荧光:   

Immunofluorescence of cell expressing BRaf protein with anti-BRaf(V600E) antibody . HEK293T cells were transfected with pCDNA3-GFP- B-Raf( V600E )plasmid,pCDNA3-GFP- B-Raf( WT )plasmid, pCDNA3-GFP- B-Raf( V600K )plasmid,pCDNA3-GFP- B-Raf( V600R )plasmid, pCDNA3-GFP- B-Raf( V600A )plasmid,pCDNA3-GFP- B-Raf( V600D ) plasmid, pCDNA3-GFP-B-Raf(V600M)plasmid, or pCDNA3-GFP-B-Raf(V600G)plasmid, then fixed and stained with anti-B-Raf(V600E) monoclonal antibody (Cat. # 26039).

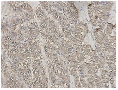
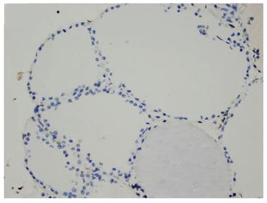
Immunohistochemistry:   

B-Raf(V600E) monoclonal antibody (Cat. # 26039). Tissue samples were fixed with formaldehyde and blocked with 1% serum for 15 min at 37 °C. Antigen retrieval was by heat mediation in citrate buffer (pH6). Samples were then incubated with primary antibody (1: 100) overnight at 4°C. A HRP-conjugated Goat anti-mouse IgG (dilution 1: 50) was used as secondary antibody.


Immunohistochemical analysis of paraffin-embedded Thyroid Carcinoma tissue -with anti-BRaf (V600E) monoclonal antibody (Cat. # 26039). Tissue samples were fixed with paraffin. Samples were then incubated with primary antibody (1: 100) overnight at 4°C. An HRP-conjugated Goat anti-mouse IgG (dilution 1: 50) was used as the secondary antibody. Allele-specific PCR validated to be Negative for BRAF V600E.

Immunohistochemical analysis of paraffin-embedded Thyroid Carcinoma tissue -with anti BRaf(V600E) monoclonal antibody (Cat. # 26039). Tissue samples were fixed with paraffin. Samples were then incubated with primary antibody (1: 100) overnight at 4°C.A HRP-conjugated Goat anti-mouse IgG (dilution 1: 50) was used as secondary antibody.Allele specific PCR validated to be Negative for BRAF V600E.



武汉费斯德生物科技有限公司
获取底价
提交后,商家将派代表为您专人服务
 
相关产品:
| 首页 | CAS NO | 联系我们 | 会员服务 | 推广服务 | 友情链接 |
版权所有 CopyRight © 2008-2026 粤ICP备08119708号