产品说明
一般描述
PUM2 is a member of the Puf family of RNA-binding proteins, which are believed to play a role in the regulation of posttranscriptional gene expression. Members of the Puf family of RNA binding proteins function as repressors of translation when bound to the 3-untranslated region of RNA transcripts.
特异性
This antibody recognizes Pumilio-2 near the N-terminus.
免疫原
Epitope: N-terminus
KLH-conjugated linear peptide corresponding to the N-terminus of human Pumilio-2.
应用
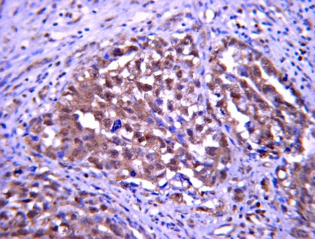
Immunohistochemistry Analysis: A 1:400 dilution from a previous lot detected Pumilio-2 in human testis and teratoma tissue.
Immunocytochemistry Analysis: A 1:500 dilution from a previous lot detected Pumilio-2 in human and mouse embryonic stem cells.
Research Category
Stem Cell Research
Research Sub Category
RNA Metabolism & Binding Proteins
Detect Pumilio-2 (PUM2) using this Anti-Pumilio-2 (PUM2) Antibody validated for use in IC, IH & WB.
质量
Evaluated by Western Blot on mouse embryonic stem cell lysate.
Western Blot Analysis: 1 µg/mL of this antibody detected Pumilio-2 (PUM2) in 10 µg of mouse embryonic stem cell lysate.
目标描述
~120 kDa observed.
Non specific band may be observed at 48 kDa
外形
Purified rabbit polyclonal in buffer containing 0.1 M Tris-Glycine (pH 7.4, 150 mM NaCl) with 0.05% sodium azide.
Affinity purified
储存及稳定性
Stable for 1 year at 2-8°C from date of receipt.
分析说明
Control
Mouse embryonic stem cell lysate
其他说明
Concentration: Please refer to the Certificate of Analysis for the lot-specific concentration.
免责声明
Unless otherwise stated in our catalog or other company documentation accompanying the product(s), our products are intended for research use only and are not to be used for any other purpose, which includes but is not limited to, unauthorized commercial uses, in vitro diagnostic uses, ex vivo or in vivo therapeutic uses or any type of consumption or application to humans or animals.
基本信息
| eCl@ss | 32160702 |
| NACRES | NA.41 |
产品性质
| 生物来源 | rabbit |
| 质量水平 | 100 |
| 抗体形式 | affinity isolated antibody |
| antibody product type | primary antibodies |
| 克隆 | polyclonal |
| 纯化方式 | affinity chromatography |
| species reactivity | human, mouse, rhesus macaque |
| species reactivity (predicted by homology) | chimpanzee (based on 100% sequence homology), rhesus monkey (based on 100% sequence homology), canine (based on 100% sequence homology) |
| technique(s) | immunocytochemistry: suitable immunohistochemistry: suitable western blot: suitable |
| NCBI登记号 | NP_056132 |
| UniProt登记号 | Q8TB72 |
| 运输 | wet ice |
| Gene Information | human ... PUM2(23369) |
安全信息
| 储存分类代码 | 12 - Non Combustible Liquids |
| WGK | WGK 1 |
| 闪点(F) | Not applicable |
| 闪点(C) | Not applicable |







