产品说明
免疫原
Recombinant protein corresponding to keratin 7
Sequence
RQEESEQIKTLNNKFASFIDKVRFLEQQNKLLETKWTLLQEQKSAKSSRLPDIFEAQIAGLRGQLEALQVDGGRLEAELRSMQDVVEDFKNKYEDEINRRTAAENEFVVLKKDVD
Epitope
Binds to an epitope located within the peptide sequence TAAENEFVVL as determined by overlapping synthetic peptides.
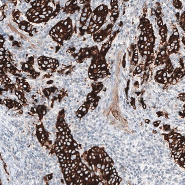
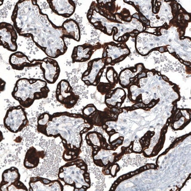
应用
All Prestige Antibodies Powered by Atlas Antibodies are developed and validated by the Human Protein Atlas (HPA) project (www.proteinatlas.org)and as a result, are supported by the most extensive characterization in the industry. The Human Protein Atlas project can be subdivided into three efforts: Human Tissue Atlas, Cancer Atlas, and Human Cell Atlas. The antibodies that have been generated in support of the Tissue and Cancer Atlas projects have been tested by immunohistochemistry against hundreds of normal and disease tissues and through the recent efforts of the Human Cell Atlas project, many have been characterized by immunofluorescence to map the human proteome not only at the tissue level but now at the subcellular level. These images and the collecation of this vast data set can be viewed on the Human Protein Atlas (HPA) site by clicking on the Image Gallery link. To view these protocols and other useful information about Prestige Antibodies and the HPA, visit sigma.com/prestige.
特点和优势
Prestige Antibodies® are highly characterized and extensively validated antibodies with the added benefit of all available characterization data for each target being accessible via the Human Protein Atlas portal linked just below the product name at the top of this page. The uniqueness and low cross-reactivity of the Prestige Antibodies® to other proteins are due to a thorough selection of antigen regions, affinity purification, and stringent selection. Prestige antigen controls are available for every corresponding Prestige Antibody and can be found in the linkage section.
Every Prestige Antibody is tested in the following ways:
- IHC tissue array of 44 normal human tissues and 20 of the most common cancer type tissues.
- Protein array of 364 human recombinant protein fragments.
外形
Solution in phosphate buffered saline, pH 7.2, containing 40% glycerol and 0.02% sodium azide.
法律信息
Prestige Antibodies is a registered trademark of sigma-aldrich Co. LLC
产品性质
| 生物来源 | mouse |
| 偶联物 | unconjugated |
| 抗体形式 | purified immunoglobulin |
| antibody product type | primary antibodies |
| 克隆 | CL8725, monoclonal |
| 产品线 | Prestige Antibodies® Powered by Atlas Antibodies |
| 形式 | buffered aqueous glycerol solution |
| species reactivity | human |
| 增强验证 | orthogonal RNAseq Learn more about Antibody Enhanced Validation |
| technique(s) | immunohistochemistry: 1:500-1:1000 western blot: 1 μg/mL |
| 同位素/亚型 | IgG1 |
| 基因组数据库 |人类登记号 | ENSG00000135480 |
| 运输 | wet ice |
| 储存温度 | −20℃ |
| Gene Information | human ... KRT7(3855) |
安全信息
| 储存分类代码 | 10 - Combustible liquids |
| WGK | WGK 1 |
| 闪点(F) | Not applicable |
| 闪点(C) | Not applicable |

















