产品说明
一般描述
The Wnt family of cysteine-rich proteins constitutes a group of ligands known for their roles in development such as cell differentiation, proliferation, migration and embryonic patterning. They have also been implicated in the formation of tumors. Wnts are involved in the stimulation of several signaling cascades that have been divided into two types; the canonical pathway, and the non-canonical pathway. Wnt-5a is considered to be a non-canonical ligand for the Wnt signaling pathway and is a ligand to the frizzled family of seven transmembrane receptors. When interacting with ROR2, Wnt-5a is considered to inhibit tumor formation due to Wnt-5a’s suppression of the canonical Wnt signaling pathway. Wnt-5a is involved in activating cell migration, regulating the motility of melanoma cells, decreasing the proliferation, chondrogenesis, and migration of carcinoma cells, and inhibiting the expression of type II collagen in chondrocytes. Wnt-5a is a requirement to the endothelial differentiation and vascularization of Embryonic Stem Cells, and is also necessary to the development of mammary glands, limb outgrowth, and the genital tubercle.
免疫原
Purified recombinant fragment of human Wnt-5a expressed in E. Coli.
应用
Detect Wnt-5a using this mouse monoclonal antibody, Anti-Wnt-5a Antibody, clone 6F2 validated for use in western blotting, Immunofluorescence & IHC.
Research Sub Category
Pluripotent & Early Differentiation
Research Category
Stem Cell Research
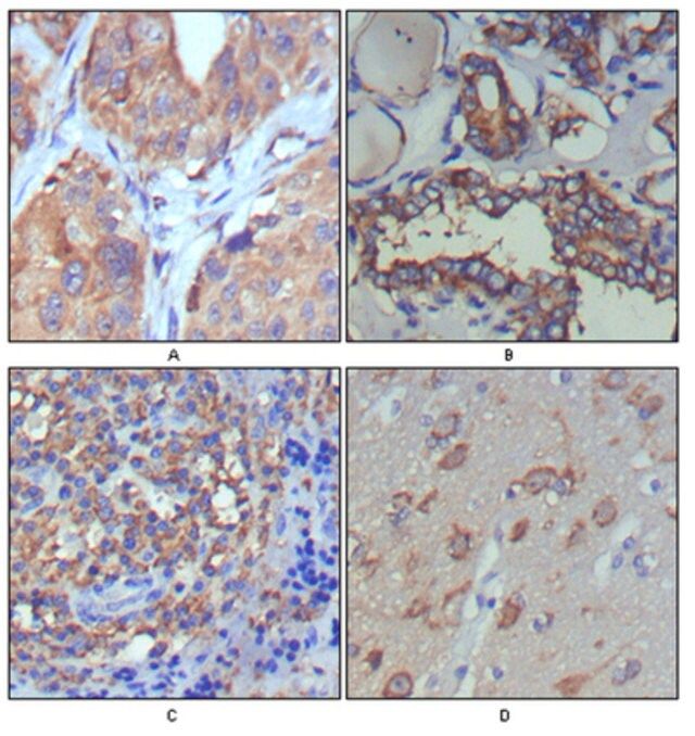
Immunohistochemistry Analysis: A 1:200-1,000 dilution from a representative lot detected Wnt-5a in human lung cancer, thyroid cancer, lymph node, and brain tissues.
Immunofluorescence Analysis: A 1:200-1,000 dilution from a representative lot detected Wnt-5a in PC-12 cells.
Optimal working dilutions must be determined by end user.
质量
Evaluated by Western Blotting in Wnt-5a-hIgGFc transfected HEK293 cell lysate.
Western Blotting Analysis: A 1:500-2000 dilution of this antibody detected Wnt-5a in Wnt-5a-hIgGFc transfected HEK293 cell lysate.
目标描述
~70 kDa observed
外形
Unpurified
Mouse monoclonal IgG1 ascitic fluid containing up to 0.1% sodium azide.
储存及稳定性
Stable for 1 year at 2-8°C from date of receipt.
分析说明
Control
Wnt-5a-hIgGFc transfected HEK293 cell lysate
免责声明
Unless otherwise stated in our catalog or other company documentation accompanying the product(s), our products are intended for research use only and are not to be used for any other purpose, which includes but is not limited to, unauthorized commercial uses, in vitro diagnostic uses, ex vivo or in vivo therapeutic uses or any type of consumption or application to humans or animals.
基本信息
| eCl@ss | 32160702 |
| NACRES | NA.41 |
产品性质
| 质量水平 | 100 |
| 生物来源 | mouse |
| 抗体形式 | ascites fluid |
| antibody product type | primary antibodies |
| 克隆 | 6F2, monoclonal |
| species reactivity | human, rat |
| technique(s) | immunofluorescence: suitable immunohistochemistry: suitable western blot: suitable |
| 同位素/亚型 | IgG1 |
| UniProt登记号 | P41221 |
| 运输 | wet ice |
安全信息
| 储存分类代码 | 12 - Non Combustible Liquids |
| WGK | nwg |
| 闪点(F) | Not applicable |
| 闪点(C) | Not applicable |














