产品说明
一般描述
Steroidogenic acute regulatory protein is located on human chromosome 8p11.2.
免疫原
steroidogenic acute regulatory protein recombinant protein epitope signature tag (PrEST)
应用
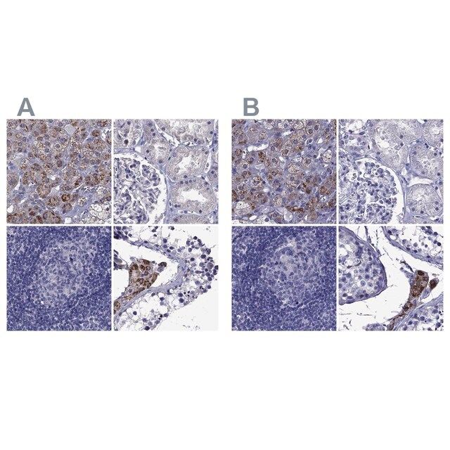
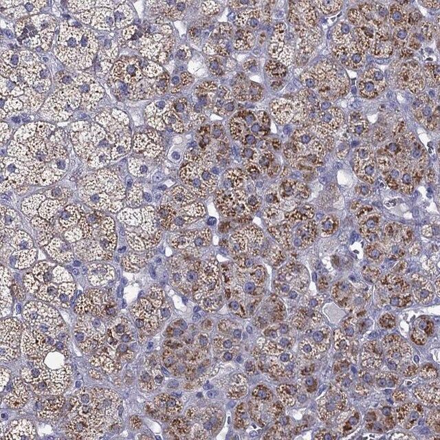
Anti-STAR antibody produced in rabbit has been used to detect StAR in Paraffin-embedded adrenal samples using immunohistochemistry.
生化/生理作用
Steroidogenic acute regulatory protein (StAR) is essential for the transfer of cholesterol to mitochondria for adrenal and gonadal steroidogenesis. StAR gene analysis can help in the diagnosis of lipoid congenital adrenal hyperplasia (LCAH). It is also identified that activins A,B,AB downregulates StAR and thereby reduces the production of progesterone in human granulosa cells. Hypoxia mediated upregulation of StAR stimulates the synthesis of aldosterone in pulmonary artery endothelial cells which contributes to pulmonary vascular fibrosis. Activation of StAR helps in prevention of atherosclerotic cardiovascular disease.
特点和优势
Prestige Antibodies® are highly characterized and extensively validated antibodies with the added benefit of all available characterization data for each target being accessible via the Human Protein Atlas portal linked just below the product name at the top of this page. The uniqueness and low cross-reactivity of the Prestige Antibodies® to other proteins are due to a thorough selection of antigen regions, affinity purification, and stringent selection. Prestige antigen controls are available for every corresponding Prestige Antibody and can be found in the linkage section.
Every Prestige Antibody is tested in the following ways:
- IHC tissue array of 44 normal human tissues and 20 of the most common cancer type tissues.
- Protein array of 364 human recombinant protein fragments.
联系
Corresponding Antigen APREST76259.
外形
Solution in phosphate-buffered saline, pH 7.2, containing 40% glycerol and 0.02% sodium azide.
法律信息
Prestige Antibodies is a registered trademark of sigma-aldrich Co. LLC
免责声明
Unless otherwise stated in our catalog or other company documentation accompanying the product(s), our products are intended for research use only and are not to be used for any other purpose, which includes but is not limited to, unauthorized commercial uses, in vitro diagnostic uses, ex vivo or in vivo therapeutic uses or any type of consumption or application to humans or animals.
基本信息
| 人类蛋白质图谱编号 | HPA023644 Human Protein Atlas characterization data |
产品性质
| 生物来源 | rabbit |
| 质量水平 | 100 |
| 偶联物 | unconjugated |
| 抗体形式 | affinity isolated antibody |
| antibody product type | primary antibodies |
| 克隆 | polyclonal |
| 产品线 | Prestige Antibodies® Powered by Atlas Antibodies |
| 形式 | buffered aqueous glycerol solution |
| species reactivity | human |
| 包装 | antibody small pack of 25 μL |
| 增强验证 | orthogonal RNAseq independent Learn more about Antibody Enhanced Validation |
| technique(s) | immunohistochemistry: 1:200-1:500 |
| 免疫原序列 | QDNGDKVMSKVVPDVGKVFRLEVVVDQPMERLYEELVERMEAMGEWNPNVKEIKVLQKIGKDTFITHELA |
| UniProt登记号 | P49675 |
| 运输 | wet ice |
| 储存温度 | −20℃ |
| Gene Information | human ... STAR(6770) |
安全信息
| 储存分类代码 | 10 - Combustible liquids |
| WGK | WGK 1 |
| 闪点(F) | Not applicable |
| 闪点(C) | Not applicable |


















