产品说明
一般描述
The protein encoded by this gene inhibits acetylation of nucleosomes, especially histone H4, by histone acetylases (HAT). This inhibition is most likely accomplished by masking histone lysines from being acetylated, and the consequence is to silence HAT-dependent transcription. The encoded protein is part of a complex localized to the endoplasmic reticulum but is found in the nucleus and inhibits apoptosis following attack by cytotoxic T lymphocytes. This protein can also enhance DNA replication of the adenovirus genome. Several transcript variants encoding different isoforms have been found for this gene. [provided by RefSeq, Oct 2011]
免疫原
A synthesized peptide derived from human SET/TAF1
外形
Buffer: PBS with 0.02% sodium azide,0.05% BSA,50% glycerol,pH7.3.
产品性质
| 生物来源 | rabbit |
| 质量水平 | 100 |
| antibody product type | primary antibodies |
| 克隆 | monoclonal |
| 形式 | liquid |
| species reactivity | mouse, rat, human |
| 浓度 | 0.2 mg/mL |
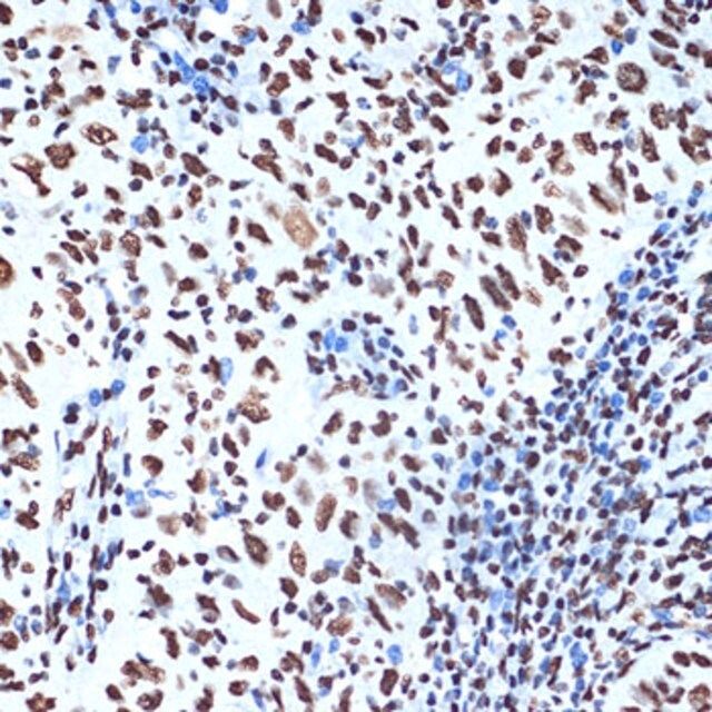
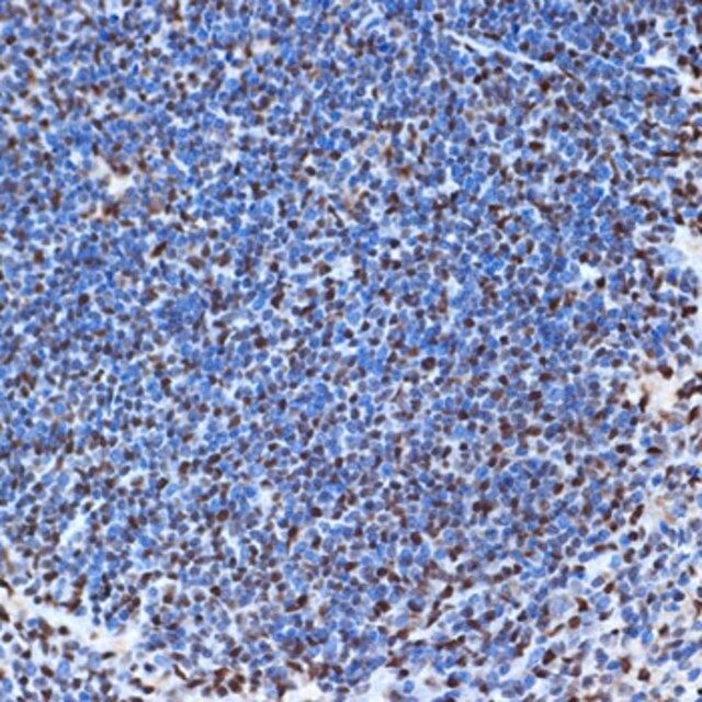
| technique(s) | immunohistochemistry: 1:50-1:200 western blot: 1:500-1:2000 |
| UniProt登记号 | Q01105 |
| 运输 | wet ice |
| 储存温度 | −20℃ |
| Gene Information | human ... SET(6418) |
安全信息
| 闪点(F) | Not applicable |
| 闪点(C) | Not applicable |

















