产品说明
一般描述
This gene encodes a protein that associates with the nuclear pore complex and participates in the regulation of nuclear transport. The encoded protein interacts with Ras-related nuclear protein 1 (RAN) and regulates guanosine triphosphate (GTP)-binding and exchange. Alternative splicing results in multiple transcript variants. [provided by RefSeq, Jul 2013]
免疫原
A synthesized peptide derived from human RanGAP1
外形
Buffer: PBS with 0.02% sodium azide,0.05% BSA,50% glycerol,pH7.3.
产品性质
| 生物来源 | rabbit |
| 质量水平 | 100 |
| antibody product type | primary antibodies |
| 克隆 | monoclonal |
| 形式 | liquid |
| species reactivity | mouse, human, rat |
| 浓度 | 0.13 mg/mL |
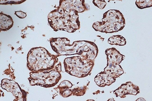
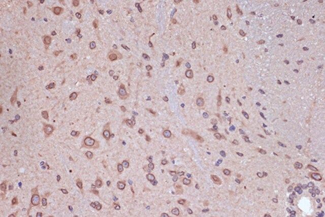
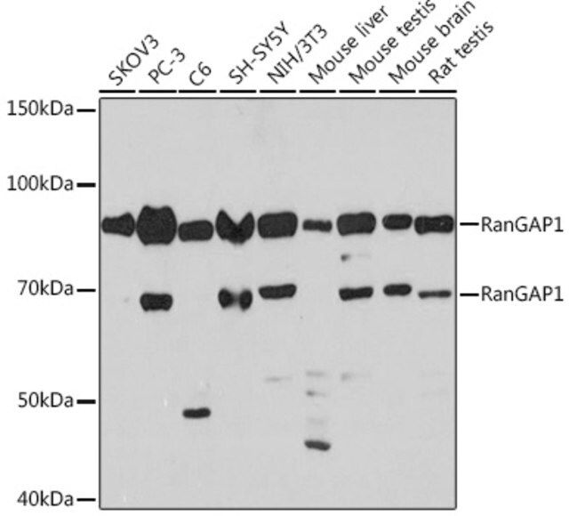
| technique(s) | immunohistochemistry: 1:50-1:200 western blot: 1:500-1:2000 |
| UniProt登记号 | P46060 |
| 运输 | wet ice |
| 储存温度 | −20℃ |
| Gene Information | human ... RANGAP1(5905) |
安全信息
| 闪点(F) | Not applicable |
| 闪点(C) | Not applicable |


















