产品说明
一般描述
Dimethylaniline monooxygenase [N-oxide-forming] 2 (EC 1.14.13.8; UniProt Q99518; also known as Dimethylaniline oxidase 2, FMO 1B1, FMO 2, Pulmonary flavin-containing monooxygenase 2) is encoded by the FMO2 (also known as FMO1B1) gene (Gene ID 2327) in human. Flavin monooxygenases (FMOs) are flavin-containing enzymes that catalyze substrates oxidation at the expense of NADPH and molecular oxygen. FMO2 is expressed in the lung tissue and therefore known as the pulmonary FMO. Two FMO2 alleles have been described in human. FMO2.1 is the functional full-length version that is found in high frequency in Sub-Saharan African populations (49%) and their Hispanic descendants (2-7%), whereas the FMO2.2 gene carries a C-to-T transition mutation that results in a premature stop codon (TAG), yielding a C-terminally truncated 64-amino acid non-functional protein FMO2X472 found in all Caucasians and Asians. Known human FMO2.1 substrates include sulfur-derived compounds such as thioureas, thioetherorganophosphates, thiazetazone and ethionamide.
免疫原
Epitope: Internal (N-terminal half).
Linear peptide corresponding to an internal sequence from the N-terminal half of human FMO2.
应用
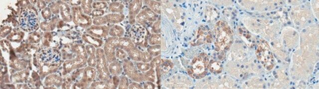
Immunohistochemistry Analysis: A 1:50 dilution from a representative lot detected FMO2 in mouse lung, mouse kidney, and human kidney tissue sections.
Research Category
Signaling
Research Sub Category
Toxicology & Drug Resistance
Detect FMO2 using this Anti-FMO2 Antibody validated for use in Western Blotting, Immunohistochemistry.
质量
Evaluated by Western Blotting in human liver microsomal lysate.
Western Blotting Analysis: A 1:500 dilution of this antibody detected FMO2 in 10 µg of human liver microsomal lysate.
目标描述
~55 kDa observed. 53.64 kDa calculated.
外形
Rabbit polyclonal serum with 0.05% sodium azide.
Unpurified
储存及稳定性
Stable for 1 year at -20°C from date of receipt.
Handling Recommendations: Upon receipt and prior to removing the cap, centrifuge the vial and gently mix the solution. Aliquot into microcentrifuge tubes and store at -20°C. Avoid repeated freeze/thaw cycles, which may damage IgG and affect product performance.
其他说明
Concentration: Please refer to lot specific datasheet.
免责声明
Unless otherwise stated in our catalog or other company documentation accompanying the product(s), our products are intended for research use only and are not to be used for any other purpose, which includes but is not limited to, unauthorized commercial uses, in vitro diagnostic uses, ex vivo or in vivo therapeutic uses or any type of consumption or application to humans or animals.
基本信息
| eCl@ss | 32160702 |
| NACRES | NA.41 |
产品性质
| 生物来源 | rabbit |
| 质量水平 | 100 |
| 抗体形式 | serum |
| antibody product type | primary antibodies |
| 克隆 | polyclonal |
| species reactivity | mouse, human |
| species reactivity (predicted by homology) | chimpanzee (based on 100% sequence homology), orangutan (based on 100% sequence homology) |
| technique(s) | immunohistochemistry: suitable western blot: suitable |
| NCBI登记号 | NP_001451 |
| UniProt登记号 | Q99518 |
| 运输 | dry ice |
安全信息
| 储存分类代码 | 12 - Non Combustible Liquids |
| WGK | WGK 1 |
| 闪点(F) | Not applicable |
| 闪点(C) | Not applicable |














