产品说明
一般描述
Breast cancer type 1 susceptibility protein (BCRA1; RING finger protein 53) functions as a tumor suppressor. BRCA1 is an important member of the DNA repair pathway. After DNA damage, BRCA1 is phosphorylated on multiple serine residues by the ATR kinase or Chk2, and is localized to lesion sites with PCNA. BRCA1 interacts with a wide range of proteins including Rad50, NBS1, and Mre11, c-Abl tyrosine kinase, and γH2A.X, involved in the detection of damaged DNA and activation of appropriate repair pathways. BRCA1 may also respond to DNA damage by promoting gene expression through association with transcriptional proteins and RNA polymerase II, and may regulate the p53 pathway by this mechanism. Previous studies have indicated that mutations in the BRCA1 gene may contribute to the development of breast and ovarian cancer.
免疫原
Recombinant protein corresponding to human BRCA1.
应用
Anti-BRCA1 Antibody, clone MS13 detects level of BRCA1 & has been published & validated for use in Western Blotting, IHC, ICC.
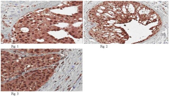
Immunohistochemistry Analysis: A 1:50 dilution from a representative lot detected BRCA1 in human breast cancer and human ovarian cancer tissues.
Immunocytochemistry Analysis: A 1:500 dilution from a representative lot detected BRCA1 in HeLa and A431 cells.
质量
Evaluated by Western Blot in HeLa nuclear extract.
Western Blot Analysis: 0.5 µg/mL of this antibody detected BRCA1 on 10 µg of HeLa nuclear extract.
目标描述
~220 kDa observed. The calculated molecular weight of this protein is 208 kDa, but can be observed at ~220 kDa due to high glycosylation. An uncharacterized band appears at ~65 kDa in some lysates.
外形
Protein G Purified
Format: Purified
其他说明
Concentration: Please refer to the Certificate of Analysis for the lot-specific concentration.
免责声明
Unless otherwise stated in our catalog or other company documentation accompanying the product(s), our products are intended for research use only and are not to be used for any other purpose, which includes but is not limited to, unauthorized commercial uses, in vitro diagnostic uses, ex vivo or in vivo therapeutic uses or any type of consumption or application to humans or animals.
基本信息
| eCl@ss | 32160702 |
| NACRES | NA.41 |
产品性质
| 质量水平 | 100 |
| 生物来源 | mouse |
| 抗体形式 | purified immunoglobulin |
| antibody product type | primary antibodies |
| 克隆 | MS13, monoclonal |
| species reactivity | human |
| technique(s) | immunocytochemistry: suitable immunohistochemistry: suitable western blot: suitable |
| 同位素/亚型 | IgG1κ |
| NCBI登记号 | NP_009225 |
| UniProt登记号 | P38398 |
| 运输 | wet ice |
| Gene Information | human ... BRCA1(672) |
安全信息
| 储存分类代码 | 12 - Non Combustible Liquids |
| WGK | WGK 1 |
| 闪点(F) | Not applicable |
| 闪点(C) | Not applicable |














