产品说明
一般描述
This gene encodes a member of the nerve growth factor family of proteins. Alternative splicing results in multiple transcript variants, at least one of which encodes a preproprotein that is proteolytically processed to generate the mature protein. Binding of this protein to its cognate receptor promotes neuronal survival in the adult brain. Expression of this gene is reduced in Alzheimer′s, Parkinson′s, and Huntington′s disease patients. This gene may play a role in the regulation of the stress response and in the biology of mood disorders.
免疫原
Recombinant fusion protein containing a sequence corresponding to amino acids 20-247 of human BDNF (NP_733928.1).
外形
PBS with 0.02% sodium azide,50% glycerol,pH7.3.
储存及稳定性
Store at -20℃. Avoid freeze / thaw cycles.
产品性质
| 生物来源 | rabbit |
| 质量水平 | 100 |
| 抗体形式 | affinity isolated antibody |
| antibody product type | primary antibodies |
| 克隆 | polyclonal |
| 形式 | buffered aqueous solution |
| 分子量 | 27 28 29 31 37 |
| species reactivity | human, rat, mouse |
| 浓度 | 3.51 mg/ml |
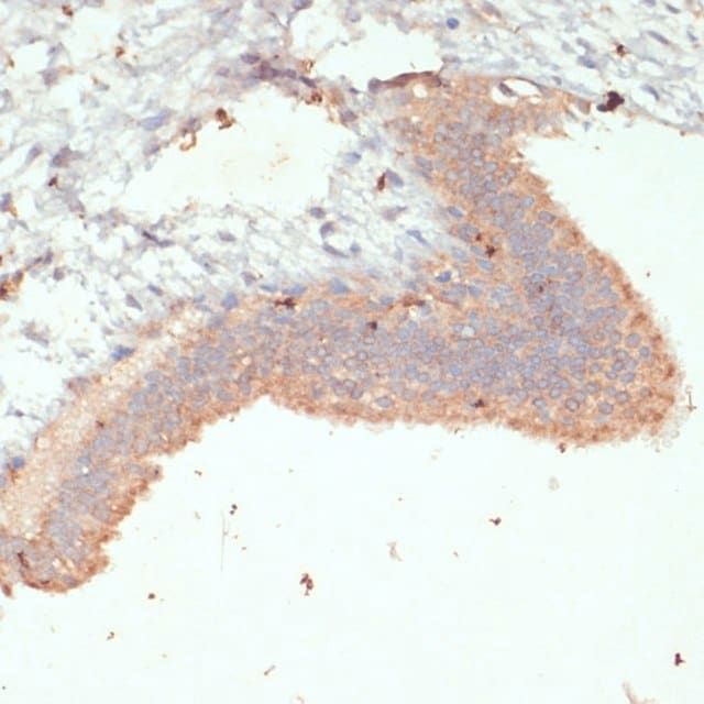
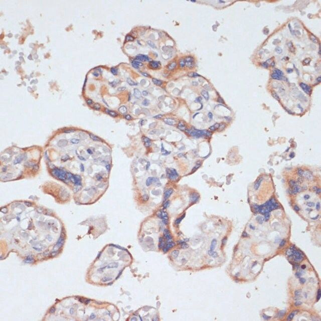
| technique(s) | immunofluorescence: 1:50-1:200 immunohistochemistry: 1:50-1:200 western blot: 1:500-1:2000 |
| UniProt登记号 | P23560 |
| 运输 | wet ice |
| 储存温度 | −20℃ |
| Gene Information | human ... BDNF(627) |
安全信息
| 储存分类代码 | 12 - Non Combustible Liquids |
| 闪点(F) | Not applicable |
| 闪点(C) | Not applicable |

















