产品说明
一般描述
The gene septin-2 (SEPT2) is mapped to human chromosome 2q37. It belongs to a conserved family of guanosine triphosphate binding proteins required for cell division. SEPT2 is present at the mid-body, the cleavage furrow and the central spindle of cells undergoing cytokinesis. In metaphase cells, SEPT2 is present within the microtubule spindle. SEPT2 is widely expressed with highest levels in brain tissues.
免疫原
Septin-2 recombinant protein epitope signature tag (PrEST)
应用
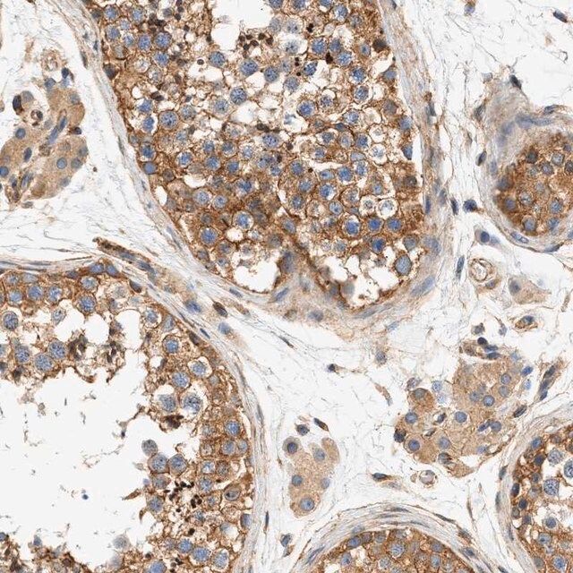
Anti-SEPT2 antibody produced in rabbit, a Prestige Antibody, is developed and validated by the Human Protein Atlas (HPA) project (www.proteinatlas.org). Each antibody is tested by immunohistochemistry against hundreds of normal and disease tissues. These images can be viewed on the Human Protein Atlas (HPA) site by clicking on the Image Gallery link. The antibodies are also tested using immunofluorescence and western blotting. To view these protocols and other useful information about Prestige Antibodies and the HPA, visit sigma.com/prestige.
生化/生理作用
At metaphase septin-2 (SEPT2) is crucial for maintaining CENP-E (Centromere-associated protein E) at kinetochores, required for chromosome congression. In anaphase, SEPT2 is needed for chromosome segregation and spindle elongation. SEPT2 forms a complex with SEPT7 and SEPT9. All three together are present along the length of the axoneme in the primary cilium of retinal pigmented epithelial cells. The complex is crucial for ciliogenesis. SEPT2 is recruited to the site of bacterial entry next to actin and is involved in bacterial invasion of Listeria and Shigella. SEPT2 is up-regulated in human hepatoma carcinoma cells (HCC). Casein kinase-2 mediated phosphorylation of SEPT2 is important for proliferation of HCC.
特点和优势
Prestige Antibodies® are highly characterized and extensively validated antibodies with the added benefit of all available characterization data for each target being accessible via the Human Protein Atlas portal linked just below the product name at the top of this page. The uniqueness and low cross-reactivity of the Prestige Antibodies® to other proteins are due to a thorough selection of antigen regions, affinity purification, and stringent selection. Prestige antigen controls are available for every corresponding Prestige Antibody and can be found in the linkage section.
Every Prestige Antibody is tested in the following ways:
- IHC tissue array of 44 normal human tissues and 20 of the most common cancer type tissues.
- Protein array of 364 human recombinant protein fragments.
联系
Corresponding Antigen APREST72699.
外形
Solution in phosphate-buffered saline, pH 7.2, containing 40% glycerol and 0.02% sodium azide
法律信息
Prestige Antibodies is a registered trademark of sigma-aldrich Co. LLC
免责声明
Unless otherwise stated in our catalog or other company documentation accompanying the product(s), our products are intended for research use only and are not to be used for any other purpose, which includes but is not limited to, unauthorized commercial uses, in vitro diagnostic uses, ex vivo or in vivo therapeutic uses or any type of consumption or application to humans or animals.
基本信息
| 人类蛋白质图谱编号 | HPA018481 Human Protein Atlas characterization data |
产品性质
| 生物来源 | rabbit |
| 质量水平 | 100 |
| 偶联物 | unconjugated |
| 抗体形式 | affinity isolated antibody |
| antibody product type | primary antibodies |
| 克隆 | polyclonal |
| 产品线 | Prestige Antibodies® Powered by Atlas Antibodies |
| 形式 | buffered aqueous glycerol solution |
| species reactivity | rat, mouse, human |
| 包装 | antibody small pack of 25 μL |
| 增强验证 | RNAi knockdown Learn more about Antibody Enhanced Validation |
| technique(s) | immunoblotting: 0.04-0.4 μg/mL immunofluorescence: 0.25-2 μg/mL immunohistochemistry: 1:200-1:500 |
| 免疫原序列 | WGVVEVENPEHNDFLKLRTMLITHMQDLQEVTQDLHYENFRSERLKRGGRKVENEDMNKDQILLEKEAELRRMQEMIARMQAQMQMQMQGGDGDGGALGH |
| 运输 | wet ice |
| 储存温度 | −20℃ |
| Gene Information | human ... SEPT2(4735) |
安全信息
| 储存分类代码 | 12 - Non Combustible Liquids |
| WGK | WGK 1 |
| 闪点(F) | Not applicable |
| 闪点(C) | Not applicable |
| 个人防护装备 | Eyeshields, Gloves, multi-purpose combination respirator cartridge (US) |


















