产品说明
特异性
This antibody reacts to the heavy chain of human IgG4. No cross reactivity with human IgG1, IgG2, IgG3, IgM, IgA, IgD, IgE, mouse IgG, rat IgG, or goat IgG.
免疫原
Peptide corresponding to the hinge region of Human IgG4.
应用
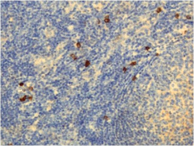
Immunohistochemistry Analysis (IHC): 1 -10 μg/mL from a representative lot detected human IgG4 in human lymphoid tissue.
ELISA Analysis: The specificity and reactivity of a representative lot was confirmed by ELISA analyses.
Research Category
Secondary & Control Antibodies
Research Sub Category
Secondary Antibodies Adsorbed for Dual Labeling
Rabbit-Anti-Human IgG4 Antibody, clone RM120 is an antibody against Human IgG4 for use in Western Blotting, Immunohistochemistry, ELISA.
质量
Evaluated by Western Blotting in human, mouse, rat, and goat IgG.
Western Blotting Analysis (WB): 2 μg/mL of this antibody detected human IgG in human, mouse, rat, and goat IgG.
目标描述
(~150kDa, non-reduced) and heavy chain (~50kDa, reduced). No cross reactivity with other isotype of human IgG, and
mouse, rat, or goat IgG.
外形
Format: Purified
Rabbit monoclonal in PBS with 1% BSA and 0.09% sodium azide.
Protein A purified
储存及稳定性
Stable for 1 year at 2-8°C from date of receipt.
Note: Variability in freezer temperatures below -20°C may cause glycerol containing solutions to become frozen during storage.
其他说明
Concentration: Please refer to lot specific datasheet.
免责声明
Unless otherwise stated in our catalog or other company documentation accompanying the product(s), our products are intended for research use only and are not to be used for any other purpose, which includes but is not limited to, unauthorized commercial uses, in vitro diagnostic uses, ex vivo or in vivo therapeutic uses or any type of consumption or application to humans or animals.
基本信息
| eCl@ss | 32160702 |
| NACRES | NA.46 |
产品性质
| 生物来源 | rabbit |
| 质量水平 | 100 |
| 抗体形式 | purified antibody |
| antibody product type | secondary antibodies |
| 克隆 | RM120, monoclonal |
| species reactivity | human |
| technique(s) | ELISA: suitable immunohistochemistry: suitable western blot: suitable |
| 同位素/亚型 | IgG |
| 运输 | wet ice |












