位置:首页 > 产品中心
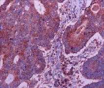
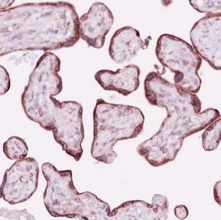
碳酸氢钠协同转运蛋白4-A11抗体
交货期:1周


产品名称
Anti-SLC5A11
Anti-Sodium/solute co-transporter-like 5A11 Antibody
产品介绍
靶标:

SLC5A11


产品别名:

CG8451; CG8451-PA; Dmel\CG8451; SLC5A11; Sodium/solute co-transporter-like 5A11; Sodium/solute co-transporter-like 5A11; Sodium/solute co-transporter-like 5A11; CG8451-PA; NA-dependent multivitamin transporter; SLC5A11-PA; cupcake; 碳酸氢钠协同转运蛋白4-A11;


背景信息:
Cotransporters, such as SLC5A11, represent a major class of proteins that make use of ion gradients to drive active transport for the cellular accumulation of nutrients, neurotransmitters, osmolytes, and ions Roll et al.
广州伟伯科技有限公司
手机: 13533759269
传真: 020-36393398
联系人: 林生
邮编: 362011
地址: 广州市白云区石井石槎路金碧新城5栋904室
相关产品:
| 首页 | CAS NO | 联系我们 | 会员服务 | 推广服务 | 友情链接 |
版权所有 CopyRight © 2008-2026 粤ICP备08119708号