产品说明
一般描述
The protein encoded by this gene is a member of the PSCD family. Members of this family have identical structural organization that consists of an N-terminal coiled-coil motif, a central Sec7 domain, and a C-terminal pleckstrin homology (PH) domain. The coiled-coil motif is involved in homodimerization, the Sec7 domain contains guanine-nucleotide exchange protein (GEP) activity, and the PH domain interacts with phospholipids and is responsible for association of PSCDs with membranes. Members of this family appear to mediate the regulation of protein sorting and membrane trafficking. The encoded protein exhibits GEP activity in vitro with ARF1, ARF3, and ARF6 and is 83% homologous to CYTH1. Two transcript variants encoding different isoforms have been found for this gene. (provided by RefSeq)
免疫原
CYTH2 (NP_059431, 314 a.a. ~ 398 a.a) partial recombinant protein with GST tag. MW of the GST tag alone is 26 KDa.
Sequence
VDDPRKPNCFELYIPNNKGQLIKACKTEADGRVVEGNHMVYRISAPTQEEKDEWIKSIQAAVSVDPFYEMLAARKKRISVKKKQE
外形
Solution in phosphate buffered saline, pH 7.4
法律信息
GenBank is a registered trademark of United States Department of Health and Human Services
免责声明
Unless otherwise stated in our catalog or other company documentation accompanying the product(s), our products are intended for research use only and are not to be used for any other purpose, which includes but is not limited to, unauthorized commercial uses, in vitro diagnostic uses, ex vivo or in vivo therapeutic uses or any type of consumption or application to humans or animals.
基本信息
| MDL编号 | MFCD03454755 |
| NACRES | NA.41 |
产品性质
| 质量水平 | 100 |
| 生物来源 | mouse |
| 偶联物 | unconjugated |
| 抗体形式 | purified immunoglobulin |
| antibody product type | primary antibodies |
| 克隆 | 6H5, monoclonal |
| 形式 | buffered aqueous solution |
| species reactivity | rat, mouse, human |
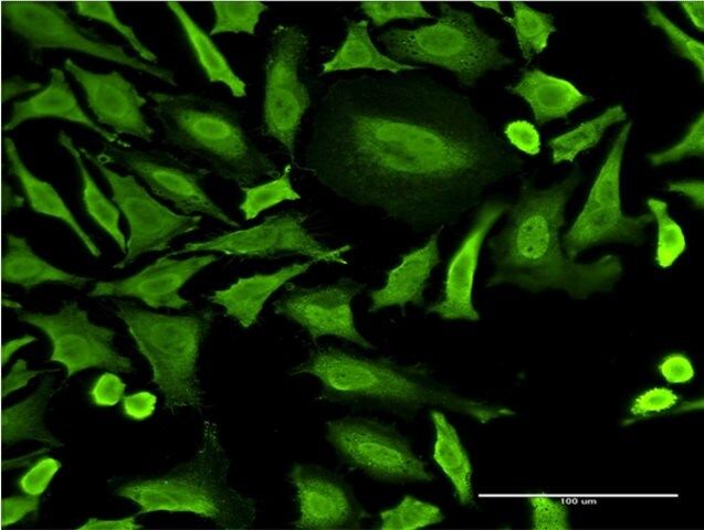
| technique(s) | immunohistochemistry (formalin-fixed, paraffin-embedded sections): suitable indirect ELISA: suitable indirect immunofluorescence: suitable western blot: 1-5 μg/mL |
| 同位素/亚型 | IgG2aκ |
| GenBank® accession no. | NM_017457 |
| UniProt登记号 | Q99418 |
| 运输 | dry ice |
| 储存温度 | −20℃ |
| Gene Information | human ... CYTH2(9266) |
安全信息
| 储存分类代码 | 12 - Non Combustible Liquids |
| 闪点(F) | Not applicable |
| 闪点(C) | Not applicable |
| 个人防护装备 | Eyeshields, Gloves, multi-purpose combination respirator cartridge (US) |

















