产品说明
一般描述
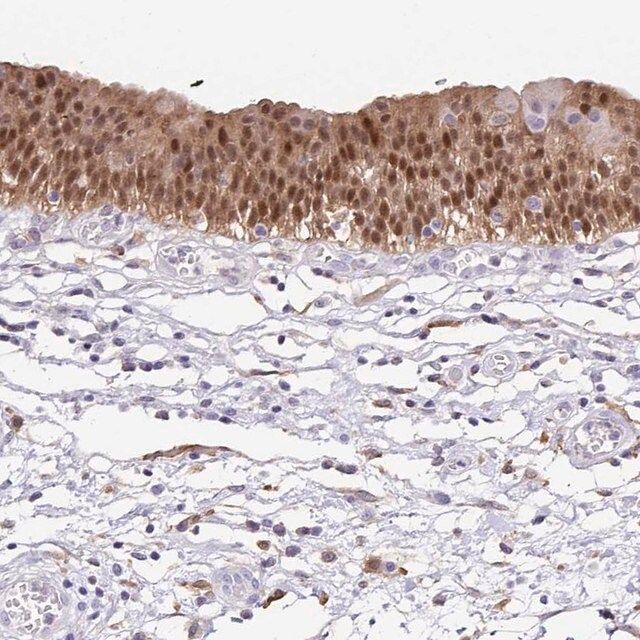
Annexin A10 (ANXA10) belongs to the annexin A family, which binds to phospholipids in a calcium-regulated manner. Annexins generally contain a Ca2+-binding region which forms the C-terminal core domain, made of annexin repeats. The N-terminal domain is the ligand binding site and is hence, unique to each member. ANXA10 is normally expressed in the epithelia of the gastrointestinal tract. In humans, this gene is located on chromosome 4q33.
免疫原
Annexin A10 recombinant protein epitope signature tag (PrEST)
应用
All Prestige Antibodies Powered by Atlas Antibodies are developed and validated by the Human Protein Atlas (HPA) project (www.proteinatlas.org)and as a result, are supported by the most extensive characterization in the industry.
The Human Protein Atlas project can be subdivided into three efforts: Human Tissue Atlas, Cancer Atlas, and Human Cell Atlas. The antibodies that have been generated in support of the Tissue and Cancer Atlas projects have been tested by immunohistochemistry against hundreds of normal and disease tissues and through the recent efforts of the Human Cell Atlas project, many have been characterized by immunofluorescence to map the human proteome not only at the tissue level but now at the subcellular level. These images and the collection of this vast data set can be viewed on the Human Protein Atlas (HPA) site by clicking on the Image Gallery link. To view these protocols and other useful information about Prestige Antibodies and the HPA, visit sigma.com/prestige.
生化/生理作用
Annexin A (ANXA) family is involved in multiple biological functions such as cell growth, apoptosis, cell division and vesicle transport. The exact function of ANXA10 is still unknown. Studies suggest that ANXA10 is a potential marker for serrated adenocarcinoma (SAC). It can be used as a marker to differentiate between sporadic and LS-associated microsatellite-unstable colon cancer, as it is highly expressed in the former in comparison to the latter. This protein might have tumor suppressor function, as its down-regulation is associated with dedifferentiation, tumor progression and invasion. Low expression and homozygous deletion of ANXA10 is linked with poor prognosis in gastric and bladder cancer. Abnormal expression of this protein, along with that of osteopontin and α-fetoprotein, contributes to the progression and poor prognosis of hepatocellular carcinoma.
特点和优势
Prestige Antibodies® are highly characterized and extensively validated antibodies with the added benefit of all available characterization data for each target being accessible via the Human Protein Atlas portal linked just below the product name at the top of this page. The uniqueness and low cross-reactivity of the Prestige Antibodies® to other proteins are due to a thorough selection of antigen regions, affinity purification, and stringent selection. Prestige antigen controls are available for every corresponding Prestige Antibody and can be found in the linkage section.
Every Prestige Antibody is tested in the following ways:
- IHC tissue array of 44 normal human tissues and 20 of the most common cancer type tissues.
- Protein array of 364 human recombinant protein fragments.
联系
Corresponding Antigen APREST70304.
外形
Solution in phosphate-buffered saline, pH 7.2, containing 40% glycerol and 0.02% sodium azide
法律信息
Prestige Antibodies is a registered trademark of sigma-aldrich Co. LLC
免责声明
Unless otherwise stated in our catalog or other company documentation accompanying the product(s), our products are intended for research use only and are not to be used for any other purpose, which includes but is not limited to, unauthorized commercial uses, in vitro diagnostic uses, ex vivo or in vivo therapeutic uses or any type of consumption or application to humans or animals.
基本信息
| 人类蛋白质图谱编号 | HPA005469 Human Protein Atlas characterization data |
产品性质
| 生物来源 | rabbit |
| 偶联物 | unconjugated |
| 抗体形式 | affinity isolated antibody |
| antibody product type | primary antibodies |
| 克隆 | polyclonal |
| 产品线 | Prestige Antibodies® Powered by Atlas Antibodies |
| 形式 | buffered aqueous glycerol solution |
| species reactivity | human |
| 包装 | antibody small pack of 25 μL |
| 增强验证 | orthogonal RNAseq Learn more about Antibody Enhanced Validation |
| technique(s) | immunoblotting: 0.04-0.4 μg/mL immunohistochemistry: 1:1000-1:2500 |
| 免疫原序列 | PPLYDAHELWHAMKGVGTDENCLIEILASRTNGEIFQMREAYCLQYSNNLQEDIYSETSGHFRDTLMNLVQGTREEGYTDPAMAAQDAMVLWEACQQKTGEHKTMLQMILCNK |
| UniProt登记号 | Q9UJ72 |
| 运输 | wet ice |
| 储存温度 | −20℃ |
| Gene Information | human ... ANXA10(11199) |
安全信息
| 储存分类代码 | 10 - Combustible liquids |
| WGK | WGK 1 |
| 闪点(F) | Not applicable |
| 闪点(C) | Not applicable |
| 个人防护装备 | Eyeshields, Gloves, multi-purpose combination respirator cartridge (US) |
















