位置:首页 > 品牌 > Sigma-Aldrich > Anti-AASS antibody produced in rabbit

Anti-AASS antibody produced in rabbit

抗-AASS 兔抗

品牌
Sigma-Aldrich
货号
HPA020728
规格纯度
Prestige Antibodies® Powered by Atlas Antibodies, affinity isolated antibody, buffered aqueous glycerol solution, Ab2
参考价格
6389.73 *本价格含增值税费
促销
数量
-+
产品介绍:

产品说明

一般描述

Aminoadipate-semialdehyde synthase (AASS) is a mitochondrial enzyme made up of 927 amino acids. The gene encoding it has 24 exons and is localized to human chromosome 7q31.3.

免疫原

Alpha-aminoadipic semialdehyde synthase, mitochondrial Precursor recombinant protein epitope signature tag (PrEST)

应用

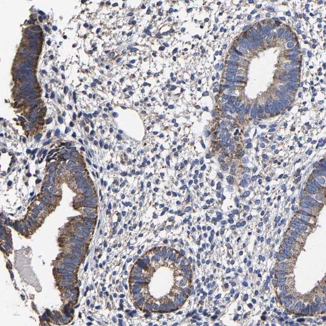
Anti-AASS antibody produced in rabbit, a Prestige Antibody, is developed and validated by the Human Protein Atlas (HPA) project (www.proteinatlas.org). Each antibody is tested by immunohistochemistry against hundreds of normal and disease tissues. These images can be viewed on the Human Protein Atlas (HPA) site by clicking on the Image Gallery link. The antibodies are also tested using immunofluorescence and western blotting. To view these protocols and other useful information about Prestige Antibodies and the HPA, visit sigma.com/prestige.

生化/生理作用

Aminoadipate-semialdehyde synthase (AASS) is involved in the catabolism of lysine. It converts lysine to saccharopine and this is further oxidised to form α-aminoadipic semialdehyde. Mutations in the AASS gene have been shown to be linked to hyperlysinemia.

特点和优势

Prestige Antibodies® are highly characterized and extensively validated antibodies with the added benefit of all available characterization data for each target being accessible via the Human Protein Atlas portal linked just below the product name at the top of this page. The uniqueness and low cross-reactivity of the Prestige Antibodies® to other proteins are due to a thorough selection of antigen regions, affinity purification, and stringent selection. Prestige antigen controls are available for every corresponding Prestige Antibody and can be found in the linkage section.

Every Prestige Antibody is tested in the following ways:

  • IHC tissue array of 44 normal human tissues and 20 of the most common cancer type tissues.
  • Protein array of 364 human recombinant protein fragments.

联系

Corresponding Antigen APREST74847.

外形

Solution in phosphate-buffered saline, pH 7.2, containing 40% glycerol and 0.02% sodium azide

法律信息

Prestige Antibodies is a registered trademark of sigma-aldrich Co. LLC

免责声明

Unless otherwise stated in our catalog or other company documentation accompanying the product(s), our products are intended for research use only and are not to be used for any other purpose, which includes but is not limited to, unauthorized commercial uses, in vitro diagnostic uses, ex vivo or in vivo therapeutic uses or any type of consumption or application to humans or animals.

基本信息

人类蛋白质图谱编号HPA020728    Human Protein Atlas characterization data

产品性质

生物来源rabbit
偶联物unconjugated
抗体形式affinity isolated antibody
antibody product typeprimary antibodies
克隆polyclonal
产品线Prestige Antibodies® Powered by Atlas Antibodies
形式buffered aqueous glycerol solution
species reactivityhuman
包装antibody small pack of 25 μL
增强验证orthogonal RNAseq
independent
Learn more about Antibody Enhanced Validation
technique(s)immunoblotting: 0.04-0.4 μg/mL
immunofluorescence: 0.25-2 μg/mL
immunohistochemistry: 1:200-1:500
免疫原序列PVSMDICKQEEKLGFLVAKQDLVISLLPYVLHPLVAKACITNKVNMVTASYITPALKELEKSVEDAGITIIGELGLDPGLDHMLAMETIDKAKEVGATIESYISYCGGLPAPEHSNNPLRYK
UniProt登记号Q9UDR5
运输wet ice
储存温度−20℃
Gene Informationhuman ... AASS(10157)

安全信息

储存分类代码12 - Non Combustible Liquids
WGKWGK 1
闪点(F)Not applicable
闪点(C)Not applicable

Sigma-Aldrich

推荐产品
| 首页 | CAS NO | 联系我们 | 会员服务 | 推广服务 | 友情链接 |
版权所有 CopyRight © 2008-2025 粤ICP备08119708号