产品说明
免疫原
1-acylglycerophosphocholine O-acyltransferase 1 recombinant protein epitope signature tag (PrEST)
应用
Applications in which this antibody has been used successfully, and the associated peer-reviewed papers, are given below.
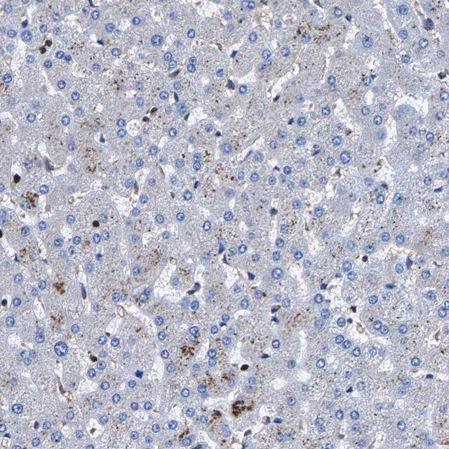
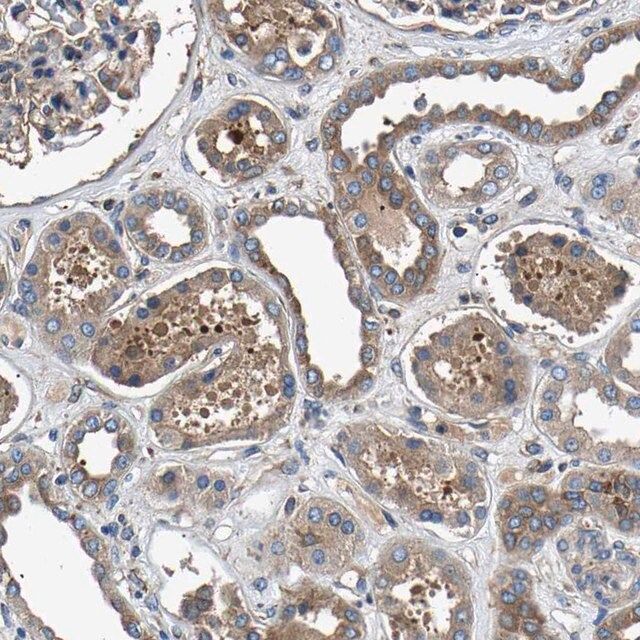
Immunohistochemistry (1 paper)
All Prestige Antibodies®Powered by Atlas Antibodies is developed and validated by the Human Protein Atlas (HPA) project (www.proteinatlas.org). Each antibody is tested by immunohistochemistry against hundreds of normal and disease tissues. These images can be viewed on the Human Protein Atlas (HPA) site by clicking on the Image Gallery link. To view these protocols and other useful information about Prestige Antibodies and the HPA, visit sigma.com/prestige.
生化/生理作用
LPCAT1 (lysophosphatidylcholine acyltransferase 1) is a phospholipase that plays a major role in phospholipid remodeling. During remodeling, it converts acyl-CoA to lyso-phosphatidyl choline, by transferring fatty acids for the reconstitution of phosphatidyl choline (PC). The de-acylation and re-acylation by a lyso-PC acyl transferase is supported by LPCAT1 through the Land′s cycle. In addition, the protein expression has been found on the surface of lipid droplets, where it plays an important role in PC biosynthesis. It has been reported that LPCAT1 may play an essential role in cancer cell proliferation, migration, and invasion.
特点和优势
Prestige Antibodies® are highly characterized and extensively validated antibodies with the added benefit of all available characterization data for each target being accessible via the Human Protein Atlas portal linked just below the product name at the top of this page. The uniqueness and low cross-reactivity of the Prestige Antibodies® to other proteins are due to a thorough selection of antigen regions, affinity purification, and stringent selection. Prestige antigen controls are available for every corresponding Prestige Antibody and can be found in the linkage section.
Every Prestige Antibody is tested in the following ways:
- IHC tissue array of 44 normal human tissues and 20 of the most common cancer type tissues.
- Protein array of 364 human recombinant protein fragments.
联系
Corresponding Antigen APREST70255.
外形
Solution in phosphate-buffered saline, pH 7.2, containing 40% glycerol and 0.02% sodium azide
法律信息
Prestige Antibodies is a registered trademark of sigma-aldrich Co. LLC
免责声明
Unless otherwise stated in our catalog or other company documentation accompanying the product(s), our products are intended for research use only and are not to be used for any other purpose, which includes but is not limited to, unauthorized commercial uses, in vitro diagnostic uses, ex vivo or in vivo therapeutic uses or any type of consumption or application to humans or animals.
基本信息
| 人类蛋白质图谱编号 | HPA022268 Human Protein Atlas characterization data |
产品性质
| 生物来源 | rabbit |
| 质量水平 | 100 |
| 偶联物 | unconjugated |
| 抗体形式 | affinity isolated antibody |
| antibody product type | primary antibodies |
| 克隆 | polyclonal |
| 产品线 | Prestige Antibodies® Powered by Atlas Antibodies |
| 形式 | buffered aqueous glycerol solution |
| species reactivity | human |
| 包装 | antibody small pack of 25 μL |
| 增强验证 | independent orthogonal RNAseq Learn more about Antibody Enhanced Validation |
| technique(s) | immunoblotting: 0.04-0.4 μg/mL immunohistochemistry: 1:500-1:1000 |
| 免疫原序列 | GVSVTDYTFEDCQLALAEGQLRLPADTCLLEFARLVRGLGLKPEKLEKDLDRYSERARMKGGEKIGIAEFAASLEVPVSDLLEDMFSLFDESGSGEVDLRECVVALSV |
| 运输 | wet ice |
| 储存温度 | −20℃ |
| Gene Information | human ... AYTL2(79888) |
安全信息
| 储存分类代码 | 12 - Non Combustible Liquids |
| WGK | WGK 1 |
| 闪点(F) | Not applicable |
| 闪点(C) | Not applicable |


















