奥林巴斯倒置显微镜CKX53凭借改进的图像质量和人体工程学,奥林巴斯CKX53提供了*越的性能和用于各种细胞培养的舒适的工作流程需求,包括活细胞观察,细胞采样和处理,图像捕获和荧光观察。
使用集成相衬(iPC)系统实现快 的细胞观察
CKX53 iPC系统的高衬度特点能够以4x、10x、20x、和40x 倍率获得清晰观察效果,无需使用者对环状光阑进行更换或重新对中。 **的相衬系统有助于实现简单*效的细胞观察,从而让工作流程更快更舒适。

利用2X物镜和FN22获得清晰宽广的观察视野
PLN2X物镜的环状光阑CKX3-SLPAS拥有22mm的视场,直径11mm。 由此,使用该物镜观察能够***效地筛选所感兴趣的细胞,获得更快的细胞培养过程。 该2X物镜与其他物镜相比具有明显更高的对比度,甚至能够让样本中的透明目标获得清晰识别。 例如,在观察96孔微孔板时,宽广的视野在无需移动载物台情况下即可观察一个孔内的所有细胞。

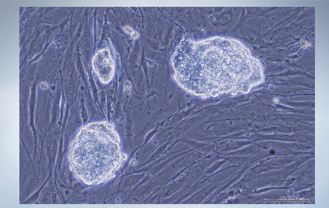
利用 “反转对比” (IVC)技术实现3D观察
采用这种**开发的IVC技术,视场深度比相衬系统的深度更窄,这让其能够绘制任意形状或透明度目标的清晰三维图像。 此外,IVC观察还可获得无光晕或定向阴影的清晰观察效果,在观察过程中确保目标细节的完整性。
* 在这种新型IVC观察中使用10X物镜 (PLCN10X,CACHN10XIPC) 。

无菌条件下的*效细胞观察
奥林巴斯倒置显微镜CKX53设计用于配合洁净工作台使用。 这款具有抗紫外线涂层的显微镜在紫外线*菌过程中可留置在洁净工作台上。 与此前的CKX型号相比,CKX53重量大约轻了7公斤,且占地空间更小,因此占用的实验室空间极小。 该显微镜仅用一只手就可轻松搬运,搬运时握持观察镜筒的颈部。 显微镜底座上配有滑动垫板,方便显微镜的定位。


方便在无菌工作台环境进行细胞采样
奥林巴斯倒置显微镜CKX53 【三目|双目|荧光|相差】视点与光轴/聚焦旋钮之间更短的距离有助于保持自然的手部姿势,让聚焦和细胞采样更加轻

方便人性化操作的人体工学设计
无论采用站姿还是坐姿进行观察,45度角目镜和蝶形观察镜筒相对载物台的位置均可有助于获得符合人体工学设计的细胞观察效果。 无菌作业能够迅速开始和结束,*大限度缩短细胞在恒温箱外部的留置时间。
包括电源开关、粗细对焦、以及光路切换旋钮等所有控制部件的位置均符合人体工学设计,由此可提高操作性能,缓解用户疲劳。

可容纳各种细胞培养容器
奥林巴斯CKX53常规型显微镜 【三目|双目|荧光|相差】的通用支架能够轻松实现对包括培养皿、微孔板和培养瓶在内各种容器内培养的细胞进行观察。 在使用选配支架时,载物台上*多可放置三个35mm的培养皿。 此外,无需支架即可对各种类型的微孔板进行操作处置。

实现对多层组织培养瓶更全面的观察
奥林巴斯CKX53常规型显微镜 【三目|双目|荧光|相差】标配荧光观察组件,在诸如100 W汞灯 (U-LH100HG)、130 W高压汞灯(U-HGLGPS)、以及第三方LED等各种集成光源的辅助下可清晰观察到微弱的荧光信号*。 反射镜单元滑块上的三个槽可安装与IX3和BX3显微镜相同型号的反射镜。


明亮条件下的高对比度
“Umbra遮光罩”专为OLYMPUS奥林巴斯倒置显微镜CKX53 【三目|双目|荧光|相差】的荧光观察而特别设计。 该遮光罩能够有效阻挡室内光线,提高荧光对比度,并可在明亮条件下获得清晰的荧光观察效果。 在使用相衬时,Umbra遮光罩可升起,让光线通过照射到样本上。


技术参数表
CKX53SF |
| ✓ |
| ✓ |
|---|
| ✓ |
|---|
| ✓ |
|---|
| 内置,4孔位 |
| ✓ |
| ✓ |
| ✓ |
|---|
|
| ✓ |
|---|
| ✓ |
| NA 0.3/ W.D.72 mm (内置) |
- |
- |
- |
| 200 mm × 498 mm × 454 mm (相衬入门配置) |
| 约6.9 kg |
* 直径11 mm视场2x概览快速筛选细胞。