位置:首页 > 产品中心
眼科超显微成像系统ISOCT

产品介绍

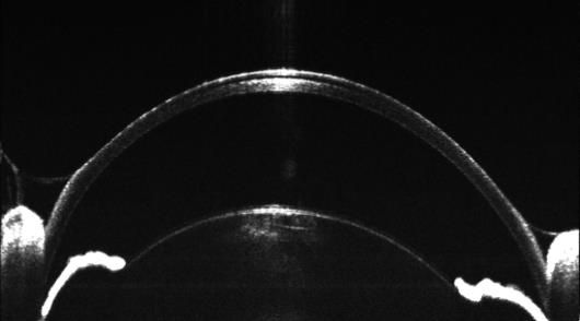
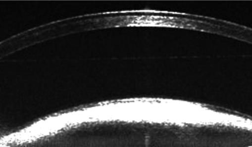
用于眼科动物模型的疾病筛查、病理学、药理学、药效学等方面研究。适用于各项眼科疾病、糖尿病、动脉硬化、高血压、干细胞等研究中视网膜结构的定量变化及定性分析。可对活体动物神经细胞,神经纤维层、微血管等微观结构改变进行早期、实时及长期无损伤的评估。

优势
※ 1.6um高分辨率成像,实现更精准的病变及疗效评估;
※ 多达7种扫描模式,全方位观察病灶细节;


小鼠及大鼠(胚胎/乳鼠/孕鼠/成年)、鸡、斑马鱼、兔子、猴子等动物

 

功能介绍

2、图像自动分层,实现视网膜8层厚度的自动分析,自动生成对比图表;
4、用户自定义分层测量,实现脉络膜、感光细胞层更细分层次的厚度分析;

应用:眼节OCT成像及定量分析

大视野眼底成像系统


北京心联光电科技有限公司
获取底价
提交后,商家将派代表为您专人服务
 
相关产品:
| 首页 | CAS NO | 联系我们 | 会员服务 | 推广服务 | 友情链接 |
版权所有 CopyRight © 2008-2026 粤ICP备08119708号