位置:首页 > 产品中心
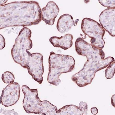
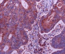
SAMD13蛋白抗体
交货期:1周


产品名称
Anti-Samd13
Anti-sterile alpha motif domain containing 13 Antibody
产品介绍
靶标:

Samd13


产品别名:

Djl; rDJL; Samd13; sterile alpha motif domain containing 13; sterile alpha motif domain containing 13; sterile alpha motif domain-containing protein 13; dnaj-like protein; SAMD13蛋白;

广州伟伯科技有限公司
手机: 13533759269
传真: 020-36393398
联系人: 林生
邮编: 362011
地址: 广州市白云区石井石槎路金碧新城5栋904室
相关产品:
| 首页 | CAS NO | 联系我们 | 会员服务 | 推广服务 | 友情链接 |
版权所有 CopyRight © 2008-2026 粤ICP备08119708号