位置:首页 > 产品中心
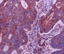
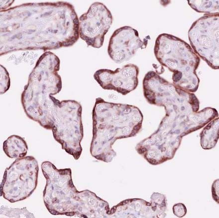
E3泛素连接酶RFWD3抗体
交货期:1周


产品名称
Anti-RFWD3
Anti-ring finger and WD repeat domain 3 Antibody
产品介绍
靶标:

RFWD3


产品别名:

FANCW; RNF201; RFWD3; ring finger and WD repeat domain 3; ring finger and WD repeat domain 3; E3 ubiquitin-protein ligase RFWD3; RING finger and WD repeat domain-containing protein 3; RING finger protein 201; RING-type E3 ubiquitin transferase RFWD3; E3泛素连接酶RFWD3;


背景信息:
PTM:Phosphorylated upon DNA damage, probably by ATM or ATR.,similarity:Contains 1 RING-type zinc finger.,similarity:Contains 3 WD repeats.,
广州伟伯科技有限公司
手机: 13533759269
传真: 020-36393398
联系人: 林生
邮编: 362011
地址: 广州市白云区石井石槎路金碧新城5栋904室
相关产品:
| 首页 | CAS NO | 联系我们 | 会员服务 | 推广服务 | 友情链接 |
版权所有 CopyRight © 2008-2026 粤ICP备08119708号