位置:首页 > 产品中心
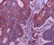
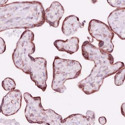
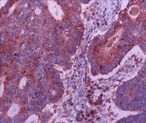
膜相关接头蛋白LAX抗体
交货期:1周


产品名称
Anti-LAX1
Anti-lymphocyte transmembrane adaptor 1 Antibody
产品介绍
靶标:

LAX1


产品别名:

LAX; LAX1; lymphocyte transmembrane adaptor 1; lymphocyte transmembrane adaptor 1; lymphocyte transmembrane adapter 1; LAT-like membrane associated protein; linker for activation of x cells; membrane-associated adapter protein LAX; 膜相关接头蛋白LAX;


背景信息:
function:Negatively regulates TCR (T-cell antigen receptor)-mediated signaling in T-cells and BCR (B-cell antigen receptor)-mediated signaling in B-cells.,induction:Up-regulated in T-cells following TCR engagement.,PTM:Phosphorylated on tyrosines by Syk, Lck or ZAP70 upon TCR or BCR activation; which leads to the recruitment of GRB2, PIK3R1 and GRAP2.,subunit:When phosphorylated, interacts with GRB2, PIK3R1 and GRAP2.,tissue specificity:Expressed in spleen, thymus, and peripheral blood leukocytes. Expressed in several B-, T-, NK and monocyte cell lines.,
广州伟伯科技有限公司
手机: 13533759269
传真: 020-36393398
联系人: 林生
邮编: 362011
地址: 广州市白云区石井石槎路金碧新城5栋904室
相关产品:
| 首页 | CAS NO | 联系我们 | 会员服务 | 推广服务 | 友情链接 |
版权所有 CopyRight © 2008-2026 粤ICP备08119708号