位置:首页 > 产品中心
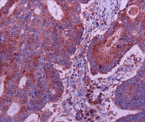
烯酰辅酶A水合酶含结构域蛋白2抗体
交货期:1周


产品名称
Anti-Echdc2
Anti-enoyl Coenzyme A hydratase domain containing 2 Antibody
产品介绍
靶标:

Echdc2


产品别名:

1300017C12Rik; 2610009M20Rik; D4Ertd765e; Echdc2; enoyl Coenzyme A hydratase domain containing 2; enoyl Coenzyme A hydratase domain containing 2; enoyl-CoA hydratase domain-containing protein 2, mitochondrial; 烯酰辅酶A水合酶含结构域蛋白2;


背景信息:
ECHDC2 is a 292 amino acid mitochondrial protein that exists as two isoforms which are produced by alternative splicing events. The gene encoding ECHDC2 maps to chromosome 1, which spans 260 million base pairs, contains over 3,000 genes and comprises nearly 8% of the human genome. Chromosome 1 encodes a large number of disease-associated proteins, including Lamin A which, when expressed abnormally, can build up in the nucleus and cause nuclear blebs, a characteristic of the rare aging disease Hutchinson-Gilford progeria. Additionally, genes that are involved in familial adenomatous polyposis, Stickler syndrome, Parkinsons Disease, Gaucher disease, schizophrenia and Usher syndrome are all located on chromosome 1. Aberrations in chromosome 1 are found in a variety of cancers, including head and neck cancer, malignant melanoma and multiple myeloma.
广州伟伯科技有限公司
手机: 13533759269
传真: 020-36393398
联系人: 林生
邮编: 362011
地址: 广州市白云区石井石槎路金碧新城5栋904室
相关产品:
| 首页 | CAS NO | 联系我们 | 会员服务 | 推广服务 | 友情链接 |
版权所有 CopyRight © 2008-2026 粤ICP备08119708号