位置:首页 > 产品中心
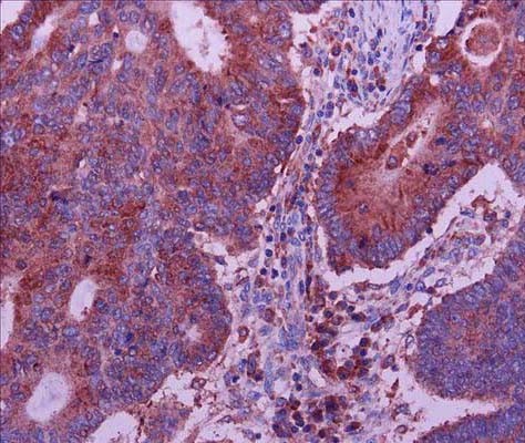
Sp140核体蛋白(SP140)抗体
交货期:1周


产品名称
核自身抗原SP140抗体
Anti-SP140
产品介绍
靶标:

SP140


产品别名:

LYSP100; LYSP100-A; LYSP100-B; SP140; SP140 nuclear body protein; SP140 nuclear body protein; nuclear body protein SP140; lymphoid-restricted homolog of Sp100; lymphoid-specific SP100 homolog; nuclear autoantigen Sp-140; speckled 140 kDa; Sp140核体蛋白(SP140); 核自身抗原SP140;


背景信息:
This gene encodes a member of the SP100 family of proteins, which are share common domains including an N-terminal homogeneously staining region domain followed by a SP100/autoimmune regulator/NucP41/P75/deformed epidermal autoregulatory factor domain, a plant homeobox zinc finger, and a bromodomain. The encoded protein is interferon-inducible and is expressed at high levels in the nuclei of leukocytes. Variants of this gene have been associated with multiple sclerosis, Crohn's disease, and chronic lymphocytic leukemia. Alternative splicing results in multiple variants. [provided by RefSeq, Aug 2016]
广州伟伯科技有限公司
手机: 13533759269
传真: 020-36393398
联系人: 林生
邮编: 362011
地址: 广州市白云区石井石槎路金碧新城5栋904室
相关产品:
| 首页 | CAS NO | 联系我们 | 会员服务 | 推广服务 | 友情链接 |
版权所有 CopyRight © 2008-2026 粤ICP备08119708号