位置:首页 > 产品中心
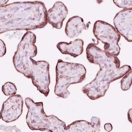
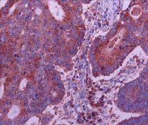
APC2抗体
交货期:1周


产品名称
Anti-APC2
Anti-APC regulator of WNT signaling pathway 2 Antibody
产品介绍
靶标:

APC2


产品别名:

APCL; MRT74; APC2; APC regulator of WNT signaling pathway 2; APC regulator of WNT signaling pathway 2; adenomatous polyposis coli protein 2; APC2, WNT signaling pathway regulator; adenomatosis polyposis coli 2; adenomatous polyposis coli like;


背景信息:
APC2, which is also called APCL, is a deduced 2,303-amino acid protein that contains an N-terminal coiled-coil domain, followed by an armadillo domain and five 20-amino acid repeats. The human APC2 gene is mapped to chromosome 19p13.3. It is found that the 20-amino acid repeat domain of APCL could bind beta-catenin (CTNNB1) and deplete the intracellular beta-catenin pool. A reporter gene assay revealed that APCL could regulate interaction of beta-catenin with T cell-specific transcription factors (TCF7), although less efficiently than APC.
广州伟伯科技有限公司
手机: 13533759269
传真: 020-36393398
联系人: 林生
邮编: 362011
地址: 广州市白云区石井石槎路金碧新城5栋904室
相关产品:
| 首页 | CAS NO | 联系我们 | 会员服务 | 推广服务 | 友情链接 |
版权所有 CopyRight © 2008-2026 粤ICP备08119708号